



全瓷贴面是目前贴面技术中高端的一种,通过数码DSD为客户私人订制一口专属方案效果。

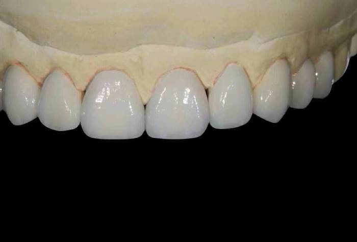
全瓷贴面是目前贴面技术中高端的一种,通过数码DSD为客户私人订制一口专属方案效果。权威美容医院的牙科专家表示,它是在不伤牙的前提下,采用粘结材料将全瓷修复体固定在牙齿上,因全瓷贴面全部由瓷组成,色泽比较逼真自然,硬度堪比真牙,并且很急定,通常可维持几十年之久,口腔专家介绍全瓷贴面的适应范围很广:可针对前牙氟斑牙、轻度四环素牙、变色牙或牙齿唇面或切端部分缺损等情况进行修复,使之达到理想的牙齿美容修复效果。




全瓷贴面的操作过程好、精细,无痛,无麻醉不会对您的身体造成任何伤害;
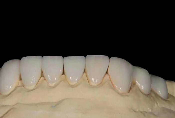
全瓷贴面颜色逼真、形态自然,与天然牙颜色非常相近;
全瓷贴面不磨牙,而且生物相容性好,不会对牙齿和牙龈造成伤害.
1、全瓷贴面的适应人群 2、瓷贴面的修复加工和材料
3、定制专属美白修复方案 4、瓷贴面粘接前的基牙处理
5、国际标准VITA比色板比色、选色和表达 6、印模的标准及手法7、取模的要素与禁忌
8、牙模上试戴9、真人牙面上试戴及调整 10、粘接前真人牙面如何处理
11、全瓷贴面怎么处理粘接不脱落
12、全瓷贴面后期如何保养
13、全瓷贴面怎么卸除干净不伤原牙
14、瓷贴面术后医嘱和维护15、理论口试
1、印模所需材料的保存与介绍 2、印模的技巧
3、印模的手法与禁忌 4、印模在口内停留的时间
5、模型如何放入口内不伤客户牙龈 6、印模的标准
7、印模的成品分析是否合格(非常关键) 8、手法取模的错误角度演示
9、老师实操(1对1手把手教学) 10、学员实操取模
11、发现错误的手法纠正、反复练习 12、真人基牙粘接前处理
13、全瓷牙片粘接预处理 14、粘接中遮色剂选色
15、全瓷牙片粘接过程中注意事项 16、全瓷牙片粘接过程中手法、角度
17、粘接过程中光固化机的正确使用 18、全瓷牙片后期防氧化操作
19、真牙粘接流程全部演示
1、重体取模2罐 2、轻体取模1支
2、轻体枪1把










重庆凝曦美容有限公司成立于2016年,旗下美牙品牌灵与兮已申请注册商标,我公司具有多年从事牙齿美白的技术和研发经验。作为国内首批水晶冰瓷美牙技术的推行者,我们已成功举办了100多期牙齿美容技术培训,也为成千上万名爱美人士完成牙齿美白修复,目前市面上众多培训机构都毕业于本院校。
公司成立至今,不断吸收和借鉴先进经营方式、管理方式、教学模式、努力将灵与兮打造出国际美牙品牌。重庆灵与兮拥有独立的美牙培训学院,技术研发中心,美学修复中心和专业的营销团队,及高效的售后服务团队。我们致力于让每一位客户“遇见爱笑的自己,让您的牙白里挑一”。

